Island Foot & Ankle Surgery - Farmington Hills, MI Podiatrist

Special Topics

Flatfoot Cases

Typical Flatfoot Deformity


Non Arthritic Flatfoot Deformity



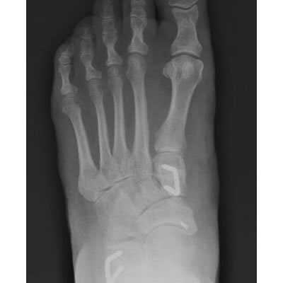
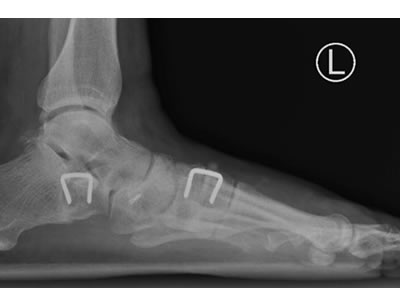
Correction of Deformity with Tendon Augmentation/transfer and Bone Grafting


Non Arthritic Flatfoot Deformity


Correction of Deformity with Tendon Augmentation/transfer and Bone Grafting

Copyright © 2021 Island Foot & Ankle Surgery. All rights reserved.
Web Site Design & Maintained by Physician WebPages